当患牙无法治疗时,需拔除;康贝佳微创无痛拔牙,采用微创器械,拔牙过程安静,术后无肿胀期,儿童也无恐惧。

智齿
危害:反复冠周炎、龋坏、牙疼
阻生牙
危害:引起前牙龋坏、牙列歪斜
牙体牙髓病
危害:反复牙疼进食困难、夜间难眠
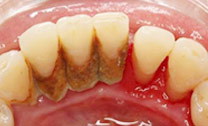
牙齿松动
危害:导致咬合无力、钝痛口臭
多生牙
危害:造成牙齿歪斜与牙齿畸形
其他治疗需要
危害:如矫牙需要拔牙否则易复发
梯度麻醉·降低痛感
针对不同患者对疼痛的敏感程度,采取麻醉方案
视听改良·消除紧张
温柔音乐,视觉转移,柔和清香,分散紧张与注意力
先进器械·无感拔牙
先松动后夹出,"低调"拔牙,告别削、劈、凿、挖
创口微小·不适期短
拔牙后仅有牙根大小的创口,出血少愈合快、不肿胀
1. 患牙位置
磨牙比前牙贵
下牙比上牙贵
2. 拔牙难度
阻生牙贵于普通牙
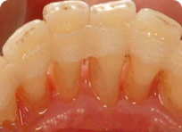
3. 牙周炎症
拔牙前必须无炎症
智齿萌发分两种情况,一正常萌发;二阻生萌发。阻生牙一定要拔除,正常萌芽的智齿若无蛀牙且有对颌牙,则可考虑保留。
通常而言,上下同侧(咬合)可同时拔牙一颗,合计两颗;若左右两侧阻生,一次则只可拔牙一颗,具体情况还应以检查结果为准。
除智齿外,恒牙拔除建议镶牙,避免引起牙槽骨萎缩、邻牙松动,镶牙方式有种植牙、烤瓷牙桥与活动假牙,更多细节可在线了解。
根据患牙位置、拔牙难度等,拔牙费用不一。一般而言阻生牙拔牙费用较高,因难度大、位置靠里,一颗大约数百元,可用医保。