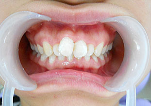
BEFORE
形象不佳、心理自卑
看脸的时代
被嘲笑,职业拦路虎
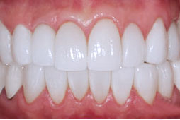
AFTER
色泽美、形态美
排列整齐 微笑设计
气质和形象锦上添花
牙齿美容是近几年流行的美齿技术,是指通过美牙冠、牙贴面、牙齿美白等方式让牙齿的形态、排列、色泽恢复到理想状态。现在已经有越来越多的人通过美容牙齿改变形象,找回自信。

私人定制 明星美牙都用它
康贝佳德国3D美牙冠突破了传统美牙冠的弊端,并结合DSD微笑设计,真正做到了美牙无痛苦、不拔牙、避免牙齿黑线等优点。


不磨牙 亮白牙齿贴出来
康贝佳超薄瓷贴面技术,是将0.2mm的薄层瓷修复体固定于患牙表面,遮盖牙齿美观的缺损、变色的修复技术,并且无需磨牙,不伤牙。


美白效果 立竿见影
康贝佳皓齿美白技术可以去除牙齿表面的色素沉积,及深层所附着的色素,美白效果持久,具有自然白、持久白、即刻白、健康白四大优势。


专业可靠的医师是广大顾客信任的前提。康贝佳口腔自建院以来一直重视人才的培养,聘请来自韩国、德国、意大利等发达国家的口腔名医,旨在给顾客带来高品质诊疗体验。
10年品牌沉淀,康贝佳一直专注口腔诊疗。拥有一大批先进的技术设备和一支专业的医师团队。作为南京医保定点单位,康贝佳实行透明收费,每一笔花费都有据可循。



